歯科衛生士の岡村です。
重い腰を上げ、いざ治療スタート!
主人の治療工程はこんな感じです
①元々使っていた義歯があったので、まずはそれを応急的に調整します

②個人トレーの印象(型取り)
個人トレーというそれぞれのお口にあったオーダーメイドのトレーを作成するための型取りをします

③仮義歯の印象(型取り)
保険治療でよく見るピンクの粘土みたいな素材とは違い、特殊なシリコン材料を2種類使い精度の高い型取りをします
2種類使い分けることで粘膜の硬さの違いに対応したり、歯がある部分と歯茎の部分を精密に取る事が可能です

④咬合床(咬み合わせの高さチェック)
咬合平面板などを使い、その人の理想の口元を測る大切な工程です

⑤試適(歯の並び・形、見え方のチェック)
最終の1つ手前の工程で、出来上がりのイメージをチェックします

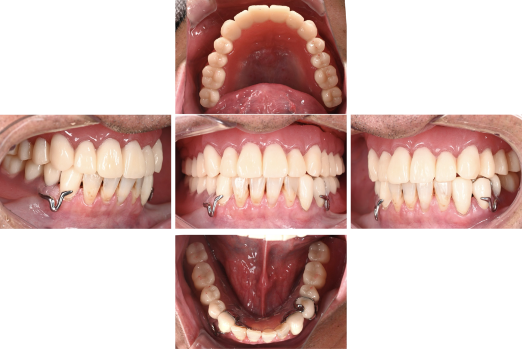
⑥完成

義歯を始めて使う場合、もしくは大きく形が変わる場合少し慣れるのに時間は必要です。
リハビリみたいな感じで、始めから問題なく使うのは難しくて当たり前なんですね。
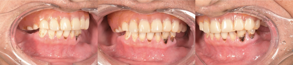
主人の場合…
・完成時、上顎が覆われている事に不快感を訴えましたが、まずは数日食事以外の時間に入れるトレーニングから始めました。
・入れる事に慣れたところでゆっくり食事に時間を取れる夕食のみ新しい入れ歯で食べる練習
・部分的に痛みや噛み合わせ、咬み方による外れやすさなどが出てきました
この時に食べにくいと感じた物
・鶏肉などの弾力があるお肉が食べにくい
・かぶりつくもの
・衣と中に硬さの違いがあるもの
・レタスやほうれん草などの葉物野菜…など
それらを通院するたび先生に伝え微調整をしてもらいます。
そして1ヶ月も経たないうちに主人の食生活は嘘のように変わりました!
以前の義歯を使っている時は、巻き寿司の胡瓜を抜いて残していたのにそのままかぶりつき、濡れおかきが好きだったはずなのに硬いおかきを食べ、嫌いと言っていたリンゴや硬い野菜を催促されるようになりました。笑
主人からおかきを食べている音を聞いた時は正直、涙が出そうでした。
嫌いではなく、食べたくても食べられなかったというのが答えだったんですね。
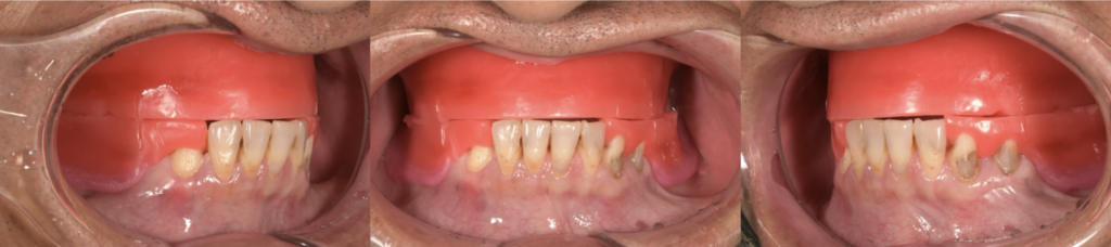
主人は現在、プロビデンチャー[仮義歯]の状態です。
当院では最初から本義歯をお作りすることは、ほとんどありません。
これは院長のこだわりで仮義歯を入れた状態でしっかり微調整を行い、納得できた上で本義歯の作成へと進みます。
この段階を踏むことで本義歯の調整は最小限に出来るというメリットへと繋がります。
ここまで読んでくださった方の中には
「嘘やろ…」
「ホンマなんかな〜」と思う人も沢山いらっしゃると思います。
私自身も院長に会うまでそうだったので…
そんな方、是非一度相談に来てください。
入れ歯に抵抗がある方、入れ歯で苦労している方は是非相談してください。
リアルな体験談をお伝え出来ると思います。
良い仕上がりや精度を求める自費治療は通院回数、治療期間や費用などそれぞれ異なります。
当院では色んな治療をご相談させて頂くためカウンセリングの時間をとらせて頂いています。
治療方法は多種多様で患者様によってベストプランは違います。
ご自身に合ったプランを一緒にご相談させてもらえるようスタッフ一同お待ちしております。



